Киста зуба мудрости - это полостное образование, которое может возникнуть вокруг зуба мудрости. Она может быть заполнена жидкостью или тканями, и, если она становится воспаленной или инфицированной, могут возникнуть различные симптомы и проблемы.


























































































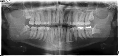
Фото кисты зуба мудрости
В данной статье представлены разные фотографии кисты зуба мудрости, чтобы вы могли просмотреть ее визуальное представление. Просмотр фотографий поможет вам лучше понять, как выглядит киста зуба мудрости и какие изменения она может вызывать в полости рта.
Обратите внимание, что фотографии могут быть графическими и могут содержать неприятные изображения. Если вы не уверены, что можете просмотреть такие фотографии, рекомендуется обратиться к врачу-стоматологу для получения более подробной информации.