Флюороз зубов фото

9 августа 2023 / 0 комментариев / 203 просмотра

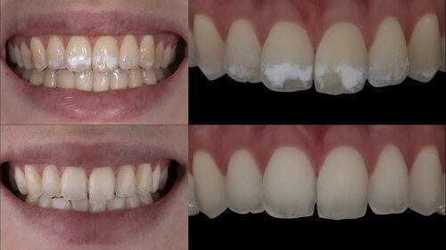
Флюороз зубов – это заболевание, которое может возникнуть у детей в результате употребления питьевой воды с избыточным содержанием фтора. Оно проявляется в виде пятен, полос или белых пятен на зубах, которые могут быть видны даже на фотографиях. Изображения флюороза зубов помогут вам понять, как выглядит это состояние и как оно может влиять на внешний вид зубов.

Бороздчатая гипоплазия
1
Бороздчатая гипоплазия
Эрозивная форма флюороза
2
Эрозивная форма флюороза
Флюороз зубов и брекеты
3
Восстановление эмали зубов
4
флюороз зубов фото
5
Деструкционный флюороз
6
Флюороз реминерализирующая терапия
7
Штриховая форма флюороза
8
Штриховая форма флюороза
флюороз зубов фото
9
Меловидно крапчатый флюороз
10
флюороз зубов фото
11
Меловидно крапчатый флюороз
12
Естественная белизна зубов и отбеливание
13
флюороз зубов фото
14
Наращивание зубов при флюорозе
15
Микроабразия гипоплазия
16
Микроабразия гипоплазия
Прозрачная зубная эмаль
17
Прозрачная зубная эмаль
Микроабразия гипоплазия
18
Микроабразия гипоплазия
Флюороз молочных зубов
19
флюороз зубов фото
20
Скученность зубов у детей
21
Белые зубы
22
Белые зубы
Тетрациклиновые зубы гипоплазия
23
Тетрациклиновые зубы гипоплазия
Отбеливание Opalescence Boost
24
Отбеливание Opalescence Boost
флюороз зубов фото
25
Профилактика кариеса и флюороза
26
Профилактика кариеса и флюороза
Внутриканальное отбеливание депульпированных зубов
27
Картинка флюороза Эстетика
28
Картинка флюороза Эстетика
Плотный белый налет на зубах
29
Плотный белый налет на зубах
Отбеливание зубов на 4 тона
30
Меловидно крапчатый флюороз
31
флюороз зубов фото
32
Третий моляр нижней челюсти рентген
33
Третий моляр нижней челюсти рентген
Волнообразные передние зубы
34
Волнообразные передние зубы
Prema микроабразия эмали
35
Prema микроабразия эмали
Белые зубы
36
Белые зубы
Керамические виниры Emax
37
Керамические виниры Emax
Отбеливание флюорозных зубов
38
Неправильная форма зубов
39
Зум 4 отбеливание зубов в Москве цена
40
Изменения цвета зубов. Отбеливание
41
Белые зубы
42
Белые зубы
Прозрачная зубная эмаль
43
Прозрачная зубная эмаль
Отбеливание зубов Бейонд
44
Покрытие зубов детям кальций
45
Виниры безметалловая керамика
46
Виниры безметалловая керамика
флюороз зубов фото
47
Белые пятна на зубах после отбеливания
48
Белые пятна на зубах после отбеливания
флюороз зубов фото
49
Лимон в зубах
50
Лимон в зубах
Глубокий кариес рентген
51
Глубокий кариес рентген
Реминерализующая терапия в стоматологии флюороз
52
флюороз зубов фото
53
Коричневые зубы от фтора
54
Коричневые зубы от фтора
Отбеливание зубов до и после
55
Металлический брекет «Omni Arch»
56
Металлический брекет «Omni Arch»
Потемнение эмали зубов
57
Эмаль для отбеливания зубов
58
Эмаль зуба фторирование
59
Эмаль зуба фторирование
Красивые ровные зубы с клыками
60
Красивые ровные зубы с клыками
Улыбающийся человек с жёлтыми зубами
61
Улыбающийся человек с жёлтыми зубами
Каппы Инвизилайн Аттачменты
62
Каппы Инвизилайн Аттачменты
Зубы после профессиональной чистки
63
Зубы после профессиональной чистки
Металлические зубы с белым напылением
64
Металлические зубы с белым напылением
Александр Бабуров виниры
65
Александр Бабуров виниры
Макросъемка в стоматологии
66
Макросъемка в стоматологии
флюороз зубов фото
67
Имплантация эмали зубов
68
флюороз зубов фото
69
Микроабразия эмали зуба
70
Микроабразия эмали зуба
флюороз зубов фото
71
Разъедание зуба кариесом
72
Разъедание зуба кариесом
флюороз зубов фото
73
флюороз зубов фото
74
флюороз зубов фото
75
Желтые зубы с внутренней стороны
76
Желтые зубы с внутренней стороны
Отбеливание клиновидной дефект зубов
77
Желтая эмаль зубов от природы
78
Неестественно белые зубы
79
Неестественно белые зубы
Зубы и зубная паста
80
Зубы и зубная паста
Спиливание зубов Пенза
81
Ровные зубы
82
Ровные зубы
Клиновидный дефект зуба
83
Клиновидный дефект зуба
Избыток фтора в организме
84
Избыток фтора в организме
Идеально ровные Здоровые белоснежные зубки внутри
85
Идеально ровные Здоровые белоснежные зубки внутри
флюороз зубов фото
86
Эндемические стоматологические заболевания
87
Эндемические стоматологические заболевания
Коричневая эмаль зубов
88
Что вредит зубам
89
Что вредит зубам
Витальное окрашивание кариеса
90
Витальное окрашивание кариеса
Выпал восстановленный зуб
91
Выпал восстановленный зуб
Металлокомпозитные коронки NUSMILE
92
Металлокомпозитные коронки NUSMILE
Некариозные повреждения зубов
93
Синтетическая зубная эмаль
94
Синтетическая зубная эмаль
Камень на передних зубах
95
Камень на передних зубах
Кариес гингивит пародонтит
96
Кариес гингивит пародонтит
Сверхкомплектные зубы ОПТГ
97
Сверхкомплектные зубы ОПТГ
Кариес пульпит периодонтит
98
Кариес пульпит периодонтит
Потемнение переднего зуба
99
Потемнение переднего зуба
флюороз зубов фото
100
Виктор Щербаков стоматолог
101
Виктор Щербаков стоматолог

Причины флюороза зубов

Основной причиной флюороза зубов является попадание избыточного фтора в организм. Это может происходить из-за использования питьевой воды с высоким содержанием фтора, употребления пищи и напитков, богатых фторидами, а также применения фторсодержащих зубных паст и промывок. На фотографиях можно увидеть различные степени выраженности флюороза зубов, от легких пятен до серьезных деформаций зубов.

Оставьте комментарий

Ваш электронный адрес не будет опубликован.