Ретейнеры для зубов являются незаменимым инструментом после лечения ортодонтических проблем. Они помогают поддерживать полученные результаты и предотвращают возвращение зубов в исходное положение. Если вы собираетесь выбрать подходящий ретейнер для себя, мы предлагаем вам посмотреть некоторые фотографии различных типов ретейнеров, чтобы оценить их внешний вид и функциональность.



































































































Фото ретейнеров для зубов
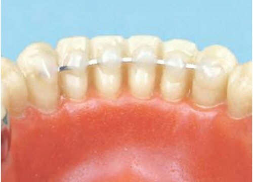
Ниже представлены фотографии нескольких типов ретейнеров для зубов:
- Прозрачные ретейнеры, которые незаметны при ношении и позволяют сохранить естественный внешний вид зубов;
- Металлические ретейнеры, которые обеспечивают прочную фиксацию и долговечность;
- Съемные ретейнеры, которые можно снять при необходимости для чистки или временного удаления;
- Фиксированные (клейкие) ретейнеры, которые крепятся непосредственно к задней стороне зубов и обеспечивают постоянную поддержку.
Выбор ретейнера для зубов зависит от ваших индивидуальных потребностей и рекомендаций врача-ортодонта. Просмотрите фотографии и обсудите варианты с специалистом, чтобы найти наиболее подходящий ретейнер для вас.