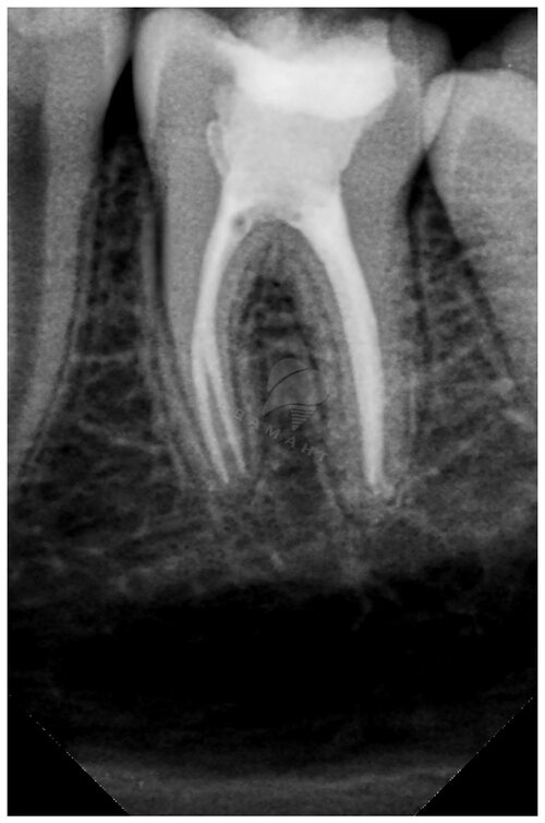
Если вам интересно узнать, как выглядят зубы без нерва, ниже представлены фотографии, которые помогут вам визуализировать процесс удаления нерва из зубов. Обратите внимание, что данные фотографии могут быть не рекомендованы для просмотра людям со слабой нервной системой.














































Как происходит удаление нерва из зуба
Удаление нерва из зуба — хирургическая процедура, которая проводится в случае, когда нерв становится поврежденным или воспаленным. Врач-стоматолог проводит анестезию, затем делает доступ к зубу и удаляет нерв, очищая его каналы. После этого каналы заполняются специальным материалом, чтобы предотвратить возможное воспаление.















































Последствия удаления нерва из зуба
После удаления нерва из зуба, он может стать более хрупким и подверженным повреждениям. Поэтому врач-стоматолог может рекомендовать дополнительные процедуры, такие как установка стоматологической коронки или пломбирование, чтобы укрепить и защитить зуб от последствий удаления нерва.
Надеемся, что представленные фотографии помогли вам лучше представить, как выглядят зубы без нерва. Но помните, что каждый случай индивидуален, и перед проведением любой процедуры вам необходимо проконсультироваться с врачом-стоматологом.