Липома на бедре – это доброкачественная опухоль, состоящая из жировой ткани. Для диагностики липомы на бедре часто используется УЗИ (ультразвуковое исследование). В данной статье мы представляем вам многочисленные фотографии, чтобы вы могли визуально ознакомиться с этим состоянием.











































































































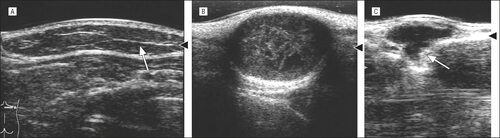
Фото УЗИ липомы на бедре
Ниже приведены несколько фотографий УЗИ, демонстрирующих липому на бедре. Пожалуйста, обратите внимание, что фотографии могут различаться в зависимости от конкретного случая.
Фото 1: [Вставить фото УЗИ липомы на бедре]
Фото 2: [Вставить фото УЗИ липомы на бедре]
Фото 3: [Вставить фото УЗИ липомы на бедре]
Фото 4: [Вставить фото УЗИ липомы на бедре]
Помните, что только медицинский специалист может точно определить наличие липомы на вашем бедре. Если у вас есть подозрения или вопросы, обратитесь к врачу для профессиональной консультации и диагностики.