7 августа 2023 /
0 комментариев
/
353 просмотра
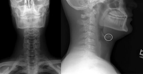
Перелом подъязычной кости - это повреждение кости, расположенной под языком. Такой перелом может быть вызван различными причинами, включая травматические повреждения или болезни. Он может проявляться в виде боли, отека и нарушения функции речи.
1
Рентген анатомия подъязычной кости

2

3
Хлыстовая травма шейного отдела позвоночника рентген

4

5

6
Рентген гортани и трахеи
7

8
Снимок ТРГ В боковой проекции

9
10
Отрыв гортани от подъязычной кости

11

12

13

14
Радиография слюнных желез

15
/GettyImages-670890563-5b6d0e6a46e0fb0050e8b985.jpg)
16
Hyoid Bone

17
Рентгеновский снимок черепа кота

18

19
Заглоточный абсцесс глотки рентген шеи

20

21
Рентген шеи сбоку

22

23
Рентген шеи по Земцову

24

25
Телерентгенограмма челюсти

26

27

28
Мягкие ткани шеи кт анатомия

29
Синдром шиловидного отростка игла Стерлинга
30
Шея человека рентген

31

32
Женское горло анатомия

33

34
Обызвествление перстневидного хряща рентген

35
Строение подъязычной кости животных

36
Шиловидный отросток челюсти

37
Грудино-подъязычную мышцу musculus sternohyoideus.

38

39
Перстневидный хрящ строение анатомия

40
Мышцы височно-нижнечелюстного сустава анатомия

41

42
Шиловидный отро Сток височной ко

43

44

45
Шилоподъязычный синдром

46
Рентгенограмма шеи по Земцову

47
Телерентгенограмма (ТРГ)

48

49
Hyoid Bone
50

51
Рентгеновский снимок собаки

52

53
Рентген беременность собаки

54
Рентген снимки рахита собак

55

56

57
Подъязычные мышцы анатомия

58
Вывих нижней челюсти рентген

59
Рентген гортани по Земцову

60
Мышцы дна ротовой полости
61
Рентгенография атланто-аксиального сочленения с1-с2

62

63
Шиловидный отросток височной кости кт

64
Рентгеновские снимки собак

65
Слюнные железы: подчелюстная и подъязычная

66
Шиловидный отросток игла Стерлинга

67
Гортань и трахея

68
Остеосаркома черепа у собак
/GettyImages-670890563-5b6d0e6a46e0fb0050e8b985.jpg)
69
Neck Bone

70
Невралгия тройничного нерва рентген

71
Рентгенография Ветеринария

72
Рентген животных

73

74

75

76
Надгортанник строение анатомия

77
Подъязычная диафрагма анатомия

78
Остеомиелит фистулография

79

80

81
Гиперостоз черепа рентген

82
Тройничный нерв ушновисочный нерв

83
:max_bytes(150000):strip_icc()/GettyImages-670890563-5b6d0e6a46e0fb0050e8b985.jpg)
84

85
Рентген глубокого горла

86
Хондрома челюсти рентген

87
ТРГ черепа в боковой проекции

88
Рентген грудной клетки кошки в норме

89
ТРГ В прямой проекции точки

90

91
Челюстно лицевая хирургия ортогнатическая хирургия

92
Рентгеновский снимок сломанного пальца собаки

93
Миеломная болезнь костей черепа на кт

94
Рентген черепа норма спереди

95
Рентген снимок челюсти

96
Череп челюсть анатомия

97
Болезнь Форестье шейного отдела рентген
/occipitalbone-d5c71758d0624de09ce5d75426c393ba.jpg)
98
. Suboccipitalis подзатылочный

99
Коллапс трахеи у чихуахуа
100
XRAY снимок

101
Снимок здорового шейного отдела позвоночника

102

103
Мышцы подбородка анатомия

104

105
Амелобластома нижней челюсти рентген

106
Мышцы шеи Неттер

107
Лопаточно-подъязычная мышца (m. omohyoideus)

108
Косточка в горле рентген

109
Человек с переломанной шеей

110
Остеосинтез локтевой кости у собаки
111
Скуловые имплантаты Zygoma

112
Миеломная болезнь тазовых костей рентген

113

114
Лицевой нерв и тройничный нерв

115
Трахея собаки рентген норма

116
Имплантация на верхней челюсти рентген
Фото подъязычной кости перелома
Ниже приведены фотографии подъязычной кости перелома, которые помогут вам визуально представить данное повреждение. Обратите внимание на характерные признаки и симптомы, которые могут сопутствовать этому типу перелома.