Перелом кости таза является серьезным повреждением, которое может возникнуть в результате аварий, падений или других травматических ситуаций. Этот тип переломов обычно требует немедленной медицинской помощи и длительного периода восстановления.



























/GettyImages-97537748-565b29d75f9b5835e46bb40d.jpg)








































.jpg)































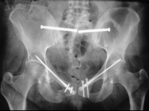
Фото перелома кости таза
В данной статье мы предлагаем вам ознакомиться с некоторыми фотографиями, иллюстрирующими различные типы переломов кости таза. Однако, предупреждаем, что содержание может быть шокирующим, поэтому если вы не готовы видеть изображения с травмами, рекомендуем воздержаться от просмотра.
1. [Фото перелома кости таза 1]
2. [Фото перелома кости таза 2]
3. [Фото перелома кости таза 3]
4. [Фото перелома кости таза 4]
5. [Фото перелома кости таза 5]
Помните, что эти фотографии представлены исключительно в информационных целях и не заменяют консультацию специалиста. Если у вас есть подозрения на перелом кости таза, обратитесь к врачу для получения профессиональной помощи и диагностики.