Артроз плечевого сустава - это хроническое дегенеративное заболевание, которое влияет на хрящи и ткани сустава. Это может привести к боли, ограниченной подвижности и другим неприятным симптомам.















































Симптомы артроза плечевого сустава
Симптомы артроза плечевого сустава могут включать:
- Боль в плече, которая может быть острой или тупой
- Ограниченная подвижность плеча
- Стирание хрящей и появление шипов на суставных поверхностях
- Отечность и воспаление
Если вы обнаружили у себя подобные симптомы, важно обратиться к врачу для диагностики и лечения. Раннее обращение поможет предотвратить прогрессирование заболевания.




















































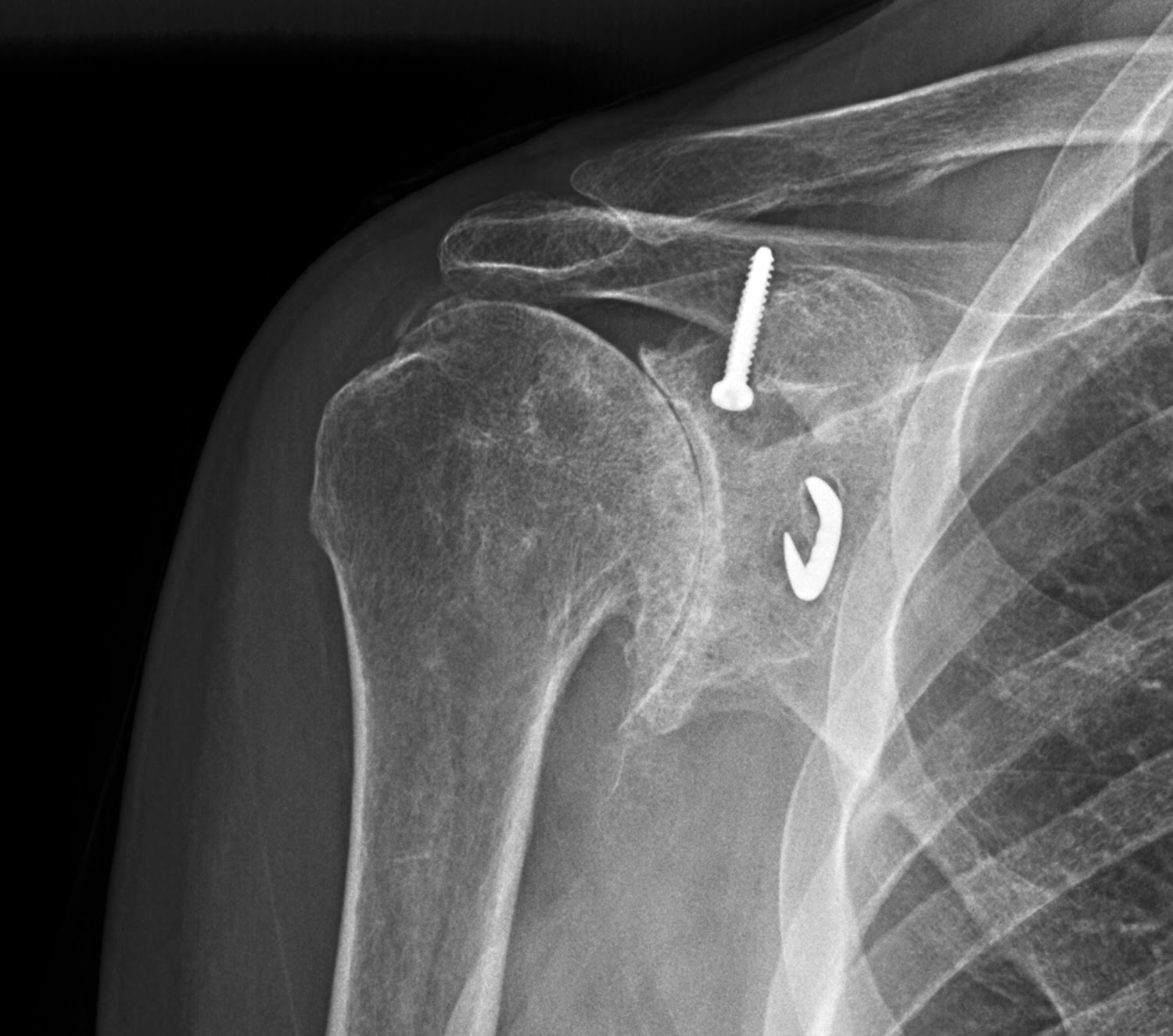
Фото артроза плечевого сустава
Ниже представлены фотографии, которые помогут вам лучше понять, как выглядит артроз плечевого сустава:
(Фото 1)
(Фото 2)
(Фото 3)
(Фото 4)
Надеемся, что эти фото помогут вам лучше осознать, что такое артроз плечевого сустава и какие симптомы сопровождают это заболевание.