Артроз голеностопного сустава – это хроническое дегенеративное заболевание, которое поражает суставную поверхность голени и стопы. Оно характеризуется разрушением хрящевой ткани, что приводит к болезненности и ограничению движений.
























Симптомы артроза голеностопного сустава
Симптомы артроза голеностопного сустава могут включать боли в области сустава, отек, скованность движений, хруст при движении, ухудшение функциональности стопы, ограничение движения.










/GettyImages-184865800-59f28ee4054ad90010a7955a.jpg)












Причины развития артроза голеностопного сустава
Главными причинами развития артроза голеностопного сустава являются травмы, избыточная нагрузка на сустав, наследственность, возрастные изменения, ожирение.











/ankle-pain-200517536-001-resized-56a315ab3df78cf7727bba3a.jpg)






/120368342-56a519483df78cf7728641e1.jpg)






Методы лечения артроза голеностопного сустава
Лечение артроза голеностопного сустава может включать консервативные методы, такие как физиотерапия, медикаментозная терапия, физические упражнения, а также хирургическое вмешательство, включающее артроскопию или эндопротезирование сустава.
























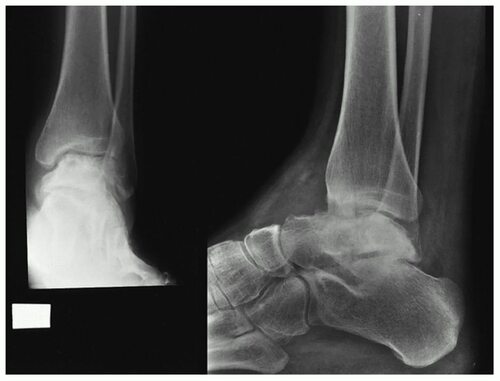
Фото лечения артроза голеностопного сустава
В данной статье представлены многочисленные фотографии, иллюстрирующие процесс лечения артроза голеностопного сустава. Они помогут вам визуализировать методы лечения и понять, какие изменения происходят в суставе в процессе реабилитации.