Реставрация передних зубов - это процесс восстановления поврежденных или отсутствующих зубов с использованием различных методов и материалов. Она помогает улучшить внешний вид зубов, восстановить функциональность и вернуть уверенность в себе.








































































































Фото до и после
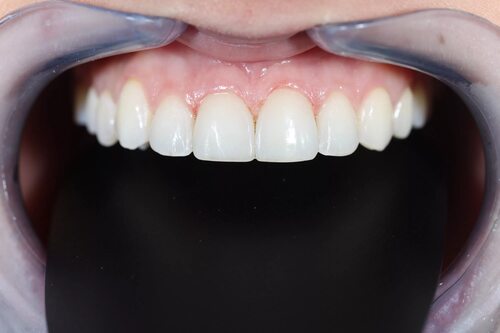
В статье представлены фотографии наших клиентов, которые прошли процедуру реставрации передних зубов. Вы сможете увидеть различные варианты реставрации, включая коронки, виниры, композитные реставрации и многие другие.
Каждая фотография сопровождается описанием процедуры и результатом работы наших специалистов. Вы сможете увидеть, каким образом улучшается внешний вид зубов после реставрации, и как это влияет на общую эстетику улыбки.
Наши специалисты имеют богатый опыт в проведении реставрации передних зубов и используют только современные технологии и материалы. Мы гарантируем высокое качество работы и долговечность результата.
Если вы задумываетесь о реставрации передних зубов, просмотрите наши фото и найдите вдохновение для своей будущей улыбки. Запишитесь на консультацию к нашим специалистам, и мы поможем вам достичь желаемого результата.